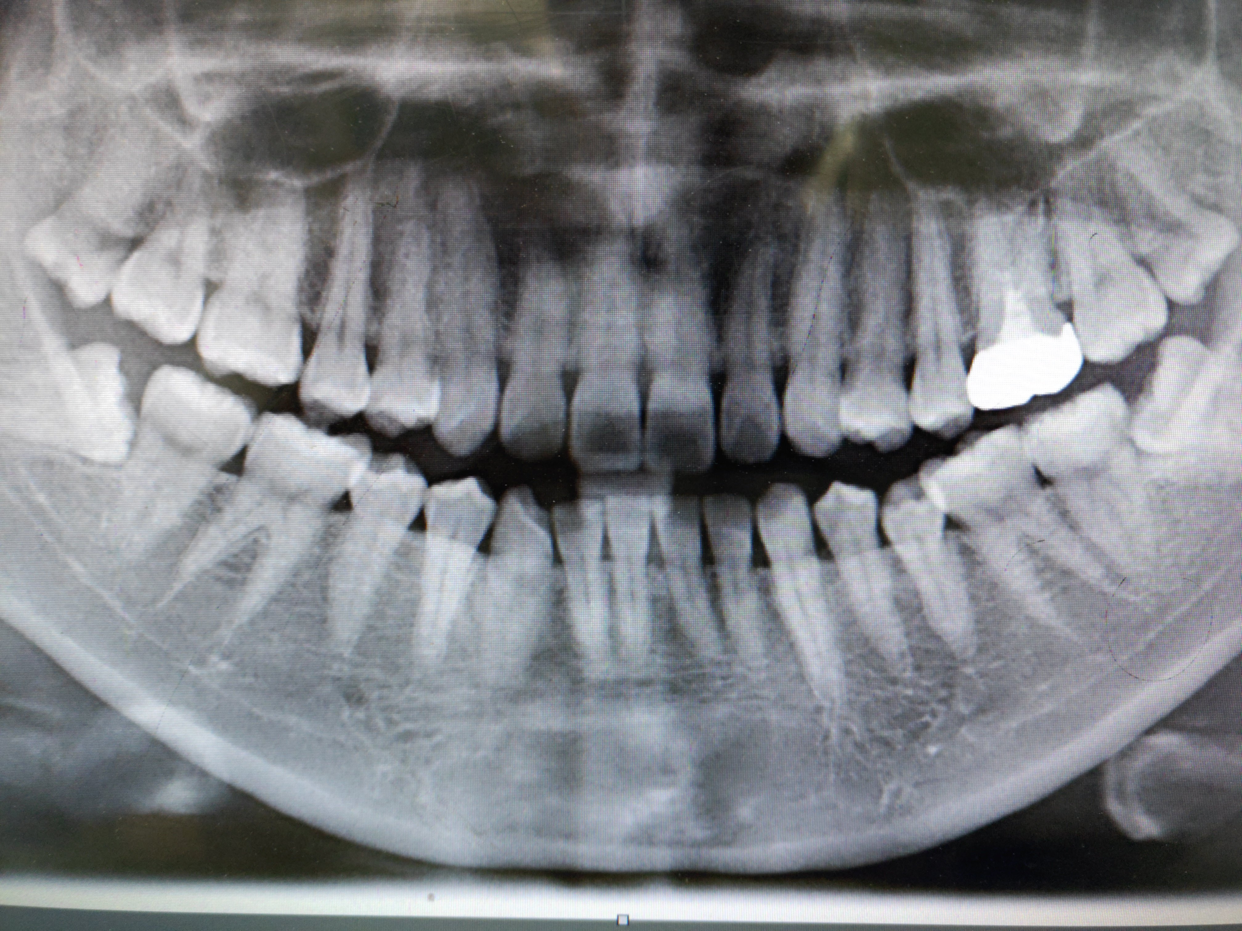
智齿蛀牙很深 525639-智齿蛀牙很深
意见建议:建议尽快到口腔科进行补牙处理,再就是平时的时候,吃完东西以后马上漱口,平时用bass刷牙法进行刷牙 ,保持好口腔卫生。 以上是对"牙齿蛀牙很深怎么办!蛀了一个大洞"这个问题的建议,希望对您有帮助,祝您健康! 显示全部答案>> 指导意见:你好,蛀牙要及时治疗,治疗方式要根据每个人蛀牙的具体程度而定,如果还没伤及牙髓神经,那么只需做13/8/17 · 您好,您24岁了,您所说您的智齿蛀的很深,这种情况我们建议您应该酌情拔除掉智齿的 指导意见: 因为智齿一般都是在成年以后生长的多余牙齿,又被称为智慧牙,更何况您的智齿还龋坏了,智齿拔掉后是不会再长的,现在都是采取的无痛拔牙术,我们建议您立即去正规口腔医院进行专业拔牙4/11/19 · 以上是对"蛀牙牙洞很深但是很久都不疼了不知道要补还是拔"这个问题的建议,希望对您有帮助,祝您健康! 付超 重庆医科大学附属口腔医院 医师 擅长 牙周炎,牙髓炎,牙龈炎,龋齿,创伤后伤口感染,创伤 免费提问 帮助网友:2149
智齒周圍食物阻塞 不易清潔 造成大臼齒後方深部蛀牙 利用樹脂全瓷嵌體修復 牙科美容資訊 美容牙科張凱榮醫師
智齿蛀牙很深
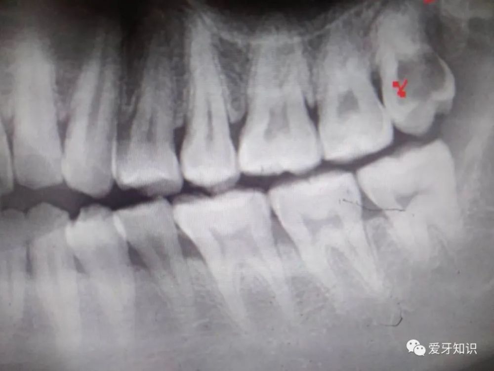
智齿蛀牙很深- · 以萌发的时候最能感觉到肿胀、疼痛感。很多人就是因为不能忍受这种疼痛感,而决定拔掉智齿。 5蛀牙: 如果智齿蛀牙,除了很简单的咬合面不深的蛀牙可以补之外,那些邻接面蛀牙,需要很好的技术,以及蛀得很深,甚至需要根管治疗的,我们一律建议拔除,杜绝后患。 智齿虽然很烦,不过不要轻易拔牙哦,这样很容易伤到神经的。22/8/14 · 问题分析: 智齿是第三磨牙,俗称"立事牙",是牙列中最后一颗牙。 这颗牙大约在于18岁至30岁之间萌出,所以称立事牙。 意见建议:需要拔除的智齿 1、蛀牙:如果智齿蛀牙,除了很简单的咬合面不深得蛀牙可以补之外,那些临街面蛀牙,需要很好的技术,以及蛀的很深,甚至需要根管治疗的



为何一颗小小的智齿会危及到自己的生命 科贸嘉友收录 牙医解答 陕西嘉友科贸有限公司
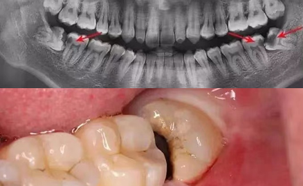
21/2/21 · "千万别把智齿一次性拔完"上热搜 医生智齿就像"渣男",建议分批拔 来源:红星新闻 编辑:刘波龋齿 (蛀牙):如果 智齿 蛀牙,除了很简单的咬合面不深的蛀牙可以补之外,那些邻接面蛀牙,需要很好的技术,以及蛀得很深,甚至需要根管治疗的,我们一律建议拔除,杜绝后患。 2造成邻牙病变:通常患者不自知,而由牙医以X光诊断得知。19/5/12 · 哪些情况是必须要拔除智齿的? 第一是有蛀牙,这是很常见的,若是智齿的蛀牙程度已经很深了,还需要进行根管治疗,那么医生的建议就是一定要拔掉,这种情况是不需要考虑其他选择的。 第二是智齿开始影响邻牙,智齿本身就是多生长出来的牙齿,如果它
1.蛀牙:如果智齿蛀牙,除了很简单的咬合 智齿 面不深的蛀牙可以补之外,那些邻接面蛀牙,需要很好的技术,以及蛀得很深,甚至需要 根管治疗 的,我们一律建议拔除, 杜绝后患 。 2.侵犯邻牙:通常患者不自知,而由牙医以X光诊断得知。 通常智齿萌发的空间不足,而会倒在第二大臼齿上,因而造成第二大臼齿清洁不易,甚至是牙齿部分吸收的 现象 ,造成患者不10/5/21 · 由于智齿长在嘴里边,清洁起来较困难,因此即便是位置长的很正的智齿,也容易发生蛀牙现象。为避免累及其他牙齿,建议尽早拔掉智齿。 5、没有对咬的智齿 如果智齿对面没有相抗衡的智齿来对咬的话,智齿过度萌生就会影响咬合,导致对面牙龈肿痛。30/5/14 · 智齿拔除适应症有哪些: 1龋齿(蛀牙):如果智齿蛀牙,除了很简单的咬合面不深的蛀牙可以补之外,那些邻接面蛀牙,需要很好的技术,以及蛀得很深,甚至需要根管治疗的,我们一律建议拔除,杜绝后患。 2造成邻牙病变:通常患者不自知,而由牙医以x光诊断得知。
5/6/17 · 2、蛀牙 如果智齿蛀牙,除了很简单的咬合面不深的蛀牙可以补之外,那些邻接面蛀牙,需要很好的技术,以及蛀得很深,甚至需要根管治疗的,我们一律建议拔除,杜绝后患。 3 3、清洁不易 由于空间不足的关系,智齿常长得歪七扭八,因此常造成清洁牙齿的7/2/15 · 拔除智齿适应症: 1龋齿(蛀牙):如果智齿蛀牙,除了很简单的咬合面不深的蛀牙可以补之外,那些邻接面蛀牙,需要很好的技术,以及蛀得很深,甚至需要根管治疗的,我们一律建议拔除,杜绝后患。 2造成邻牙病变:通常患者不自知,而由牙医以x光诊断得知。/7/18 · 1蛀牙:如果智齿蛀牙,除了很简单的咬合面不深的蛀牙可以补之外,那些邻接面蛀牙,需要很好的技术,以及蛀得很深,甚至需要根管治疗的,我们一律建议拔除,杜绝后患。 2侵犯邻牙:通常患者不自知,而由牙医以X光诊断得知。 通常智齿萌发的空间不足,而会倒在第二大臼齿上,因而造成第二大臼齿清洁不易,甚至是牙齿部分吸收的现象,造成患者不舒适



智齿一定要拔吗 七种情况必须拔除 快资讯



最令人害怕的小手術第二名 智齒該拔嗎 牙醫師這樣建議 牙科 科別 元氣網
7/5/21 · 牙齿真的很重要,原以为自己牙齿很好 的牙齿很整齐,所以一直觉得牙齿是很好的,而且早晚都会刷牙,但是以前没有洗牙的习惯,后来去洗牙被医生告知我很多蛀牙,然后开始补牙,每一个蛀牙140元一颗,一共18颗,大约2500左右,因为蛀牙太多了,牙医给我打折,上智齿1400两颗,下智齿两颗,全部加起来我的牙齿一共要用差不多6100左右。 你们那边拔智齿23/7/15 · 1、龋齿: 假如智齿龋齿,除了很简单的咬合面不深的龋齿能够补以外,那些邻接面龋齿,需求极好的技能,以及蛀得很深,乃至需求根管医治的,我们一概主张拔除,杜绝后患。 2、侵略邻牙: 一般患者不自知,而由牙医以X光确诊得知。



智齿



悟空问答 智齿能拔掉吗 有哪些需要注意的问题 用户的回答 0赞



为什么牙医说你的智齿一定要拔 每日头条



这些智齿不拔 留着折磨自己吗 广州德伦口腔



长智齿了 要不要拔



消逝中的智齿 拔还是不拔 果壳科技有意思



智齿每个人都有吗是不是每个人都会长智齿 雅汇天气网



为什么医生都建议拔智齿 每日头条



智慧牙有必要拔除吗 如果不疼可以不拔 新氧美容整形



廊坊朋友你们知道为什么医生不让一次性把智齿都拔了 蛀牙 拔牙 磨牙 牙齿 网易订阅



没有拔过智齿的人生是不完整的 陆毅 简书



关于智齿 你真的知道该不该拔吗



头条文章



医生 我的智齿不疼也不发炎 该不该拔 咸宁市妇幼保健院 咸宁市妇女儿童医院



智齿蛀牙牙洞照片 万图壁纸网



智齿 给人带来多少痛苦 简书



医生 我的智齿不疼也不发炎 该不该拔 咸宁市妇幼保健院 咸宁市妇女儿童医院



智齿不痛就不用拔 看完这篇就懂了 广州德伦口腔



科普篇 智齿到底要不要拔 知乎



最令人害怕的小手術第二名 智齒該拔嗎 牙醫師這樣建議 牙科 科別 元氣網



悟空问答 第三磨牙蛀牙了该怎么处理 6个回答



Q Tbn And9gcqd V4ds3c97vhdufb4gkbmyjg6lze6j58zaddsyweeated11mn Usqp Cau



秦皇岛军工医院



案例分享 俊美牙醫診所chunmei Dental Clinic



智齿蛀牙了要拔掉吗长了智齿一定要拔掉吗 第二人生



遇到这些情况 智齿一定要拔掉 腾讯新闻



Q Tbn And9gcrxntkvsiajuyo2vadholdyhapzpdqp3lz K2chmw2ncldraw Usqp Cau



智齿君六大罪 不拔不足以平 民 愤 腾讯新闻



智齒周圍食物阻塞 不易清潔 造成大臼齒後方深部蛀牙 利用樹脂全瓷嵌體修復 牙科美容資訊 美容牙科張凱榮醫師



智齿蛀牙要上下一起拔掉吗 雪花新闻



智齒周圍食物阻塞 不易清潔 造成大臼齒後方深部蛀牙 利用樹脂全瓷嵌體修復 牙科美容資訊 美容牙科張凱榮醫師



智齿蛀牙牙洞照片 万图壁纸网



蛀牙真的是被 蛀虫 吃空的吗 看到演变过程 网友 看着都疼 爱子网



为什么会长智齿 智齿到底要不要拔 新氧美容整形



智齒 到底該不該拔呢 智齒 這樣搞下去會很可怕 但別慌這篇讓你徹底了解他 豐田牙醫診所



这颗牙齿频繁发炎疼痛 而你还在犹豫拔不拔 腾讯新闻



有一种疼叫 智齿疼 到底哪些情况需要拔智齿 新华网



拔智齿 右上智齿蛀牙一览黑黑的有点恶心 慎入 一定要保护牙齿 哔哩哔哩 Bilibili



拔智齿真是花钱不讨好的事吗 南宁牙博士口腔正恒门诊部 微信公众号文章阅读 Wemp



1



為什麼牙醫老跟智齒過不去 你不知道的真相 壹讀



什么样的智齿需要拔掉 盛德仁口腔科普小知识 热点问题 山东盛德仁口腔 官网 淄博种植牙一颗大概多少钱 淄博种植牙的利弊 淄博牙齿矫正多少钱



智齿牙痛需要拔掉吗 北京冠美口腔



为什么医生不让我一次性把智齿都拔了 蛀牙 拔牙 磨牙 牙齿 网易订阅



一颗智齿 在27岁长沙男子脸上 捅 了个洞 健康资讯 娱乐新闻网



同济口腔健康科普讲堂 年11月 你的牙医为什么老劝你拔智齿 同济大学口腔医学院



智齿总是发炎 什么时候拔才好 牙齿



哪些情况的智齿是需要拔除的



智齿是蛀牙要不要拔掉 搜狗图片搜索



智齿一定要拔吗 这三种情况可以不用拔掉 科贸嘉友收录 根栏目 陕西嘉友科贸有限公司



小智齿大麻烦 科普园地 红河州第三人民医院



为什么要拔除龋齿 广州牙科医院哪家好 广州口腔医院排名 广州哪里做烤瓷牙好 广州种植牙医院价格表



到底该不该 拔智齿 呢 这篇让你彻底对智齿了解 阿波罗新闻网



为什么智齿容易蛀牙 牙疼智齿 智齿虫牙图片 大山谷图库 手机版



长了智齿一定要拔吗 该不该拔 关键看这几点 每日头条



科普 长了智齿该不该拔 这6类人别随意拔 严重时可危及生命



Q Tbn And9gctoaqnrbt2dttfxla Iwpbvc6y94s6fkodnozmh N0p X1fwj7j Usqp Cau



头条文章



为何一颗小小的智齿会危及到自己的生命 科贸嘉友收录 牙医解答 陕西嘉友科贸有限公司



医生 我的智齿不疼也不发炎 该不该拔 拔牙 蛀牙 瘦脸 阻生 网易订阅



智齿反复发炎 还在 拔 和 不拔 之前徘徊 看完你就懂了



牙齒蛀牙的很嚴重 能不拔牙植牙而做假牙呢 牙科美容資訊 美容牙科張凱榮醫師



秦皇岛口腔医院 无痛拔牙



拔智齿真是花钱不讨好的事吗 南宁牙博士口腔正恒门诊部 微信公众号文章阅读 Wemp



智齿用不用拔 看懂就懂啦 阻生齿 阻生齿



我有一颗小智齿 我从来也不拔 后来我差点没了命 概述 预防 口腔科



悟空问答 智齿要上下一起拔掉吗 个回答



智齿



自己嚇自己的拔牙體驗 34歲拔了2顆智齒的心得感想 A小姐的迷你世界 痞客邦



为什么医生都建议拔掉智齿呢 知乎



智齿发炎反复无常 拔还是不拔 36头条网



智齿不疼也不发炎 该不该拔 健康号 微医



怎么判断智齿要不要拔 智齿从来没疼过要拔吗 非常爱美



智齿什么时候需要拔掉 紫一商城



长智齿牙龈肿痛怎么办 仁宏医药有限公司 单机游戏



智齿要不要拔 医生的建议你知道吗



智齿竟然是这样的 不管它就会引起病变



为什么10个医生9个建议 拔智齿 图 疗养保健 看中国网 移动版



哪些智齿需要拔除 四化拔牙 天使口腔医院 南宁牙科医院



怎么判断智齿要不要拔 智齿从来没疼过要拔吗 非常爱美



长智齿了要不要拔 关键看一点



四颗智齿都要拔掉吗 哪种情况智齿必须拔除 荷马口腔



泉州新侨乡健康体检



智齿 立事牙 到底要不要拔 立事牙该不该拔 派欧网



关于智齿 你真的知道该不该拔吗



震惊 智齿不痛就不用拔 拔智齿会瘦脸 揭秘智齿的 传说 知乎



答案详情页



智齿长蛀牙什么样图 第1页 要无忧健康图库



智齿蛀牙要上下一起拔掉吗 网易订阅



不是所有智齿都要拔 但这六种情况应该尽早拔掉



案例分享 俊美牙醫診所chunmei Dental Clinic



智齿蛀牙了是拔牙好还是补牙好 上海蓝生万众医院 上海医保定点机构



智齿一定要拔吗这些情况下智齿需要拔掉



有一种疼叫 智齿疼 到底哪些情况需要拔智齿 新华网



微创拔牙丨抓住时机 告别磨人的 小妖精 知乎



上颚智齿蛀牙 第1页 要无忧健康图库



科普 长了智齿该不该拔 这6类人别随意拔 严重时可危及生命



为什么医生都建议拔掉智齿呢 知乎



到底要不要拔智齿 别慌了 这篇文章让你彻底了解 牙医秀



智齿到底该不该拔掉呢 蛀牙 拔牙 磨牙 牙齿 网易订阅



智齿严重蛀牙图片 搜狗图片搜索



智齿的危害 谣言 什么样的智齿应该拔除 拔牙 消炎 清洁 炎症 口腔 牙齿保护 牙刷 漱口水 牙齿保护计划 医疗健康 医疗健康其他

コメント
コメントを投稿